

近日我院新购进世界最先进的西门子纪元四度1.5T核磁共振正式投入使用。成为山东省第一个拥MAGNETOM Aera核磁共振的医院。
MAGNETOM Aera具备独有的最新一代的Tim 4G技术。Tim(TotalImage Matrix)技术是西门子磁共振的核心技术,全新超高密度矩阵线圈,配合业内最高的48独立接收通道设计,图像信噪比得到革命性的提升;可满足临床对高速高分辨率成像、灵活成像野、和高病人流量的需求。包括:
速度:48个独立射频接收通道,突破了限制磁共振成像速度的技术瓶颈,实现了超强并行采集技术和前所未有的超高速图像信号传输,极大地加快了成像速度实现了3T设备的成像速度。
精度:创新使用双频信号传输架构,首次突破了业内最高32线圈通道的限制,实现常规体部扫描即可达到40线圈通道。超高密度线圈能够获得常规图像2倍的信噪比,能够提供前所未有的高质量图像,达到类似于3T的成像精度。
高度:独有的太空舱(TX-BOX)全内置射频技术,首次实现了将射频发射和接收系统全部内置于磁体内,使磁体间与设备间之间的所有信号均成为数字化光纤传输。实现了整个射频发射接收链零损耗,确保最高的射频激发效率和最高的信噪比;使射频与梯度之间首次实现实时数据交换,达到业内最高的射频稳定度和射频精度。太空舱技术代表了当前射频发展的最先进水平,为高端应用和科研搭建了相当于3T高度的平台。
广度:70cm大孔径和适形磁体梯度技术,可满足各种类型患者复杂的临床检查需求,拥有无可匹敌的临床使用广度!其TrueForm磁体与梯度设计,在临床检查上拥有一个均匀度更高的大视野FOV,可为各个部位的临床检查提供更加真实均匀的高信噪比成像,同时为大范围脂肪抑制序列提供从视野中心到边界同样均匀的成像效果。
西门子MAGNETOM Aera 纪元四度磁共振可进行神经系统、脊柱、四肢关节、腹部、心脏、血管等全身各个系统的不同疾病的检查,而且能进行波谱分析,对肿瘤的性质鉴定有很高临床价值。对CT无法发现的超早期脑梗塞病变具有无可替代的作用,能发现发病后几分钟内的病灶,为挽救患者生命和改善预后、减少致残率赢得时间。
该磁共振的引进不但具有广泛的社会效益,同时在临床和科研方面又占领了新的制高点。该磁共振的投入使用,标志着我市中医院影像诊断检查技术又迈上了一个新的台阶,可真正做到对疾病早发现、早诊断、早治疗,必将为临床诊断提供更有力的硬件支持,进一步提升诊疗水平,为广大患者带来福音。

MAGNETOMAera
高端、快速、精确、广泛应用 -- 全新1.5T纪元四度磁共振

Tim 4G神经系统临床应用
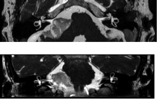
Tim 4G高密度一体化头颈线圈提供高分辨率头部成像,更多的线圈单元数支持更高的iPAT并行采集因子,有利于减少EPI序列的磁敏感伪影。
CASE 1: 垂体腺瘤


CASE 2:多发硬化 MS

CASE 3:表皮样囊肿


CASE 3: 胸椎肿瘤(金属植入物)

我院党员干部认真收看《新泰市党的群众路线教育实践活动总结大会》视频会议
2014-10-13
医院地址:山东省新泰市青云路860号
版权所有:新泰市中医医院
传真:xtszyy@126.com
邮件:0538-7251239
医院微博订阅号
医院微信公众号